Сауны и бани Краснодара

На Кубани врачи не смогли диагностировать у ребенка рак

120

На Кубани врачи не смогли диагностировать у ребенка рак

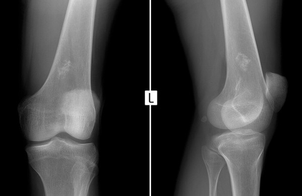
Сегодня в организме 5-летней девочки уже  выявлены  многочисленные метастазы.  

Все началось с боли в правом бедре. Мама обнаружила уплотнение, местный хирург не заметил ничего страшного и подумав, то это просто ушиб, прописал мазь.

Но через месяц боли возобновились с новой силой. Тогда мама с ребенком обратились к платному доктору, но и тот не выявил ничего страшного.

Еще через месяц ситуация повторилась вновь. Только тогда измучившейся маме дали направление на расширенный анализ. Результаты показали повышенный уровень лейкоцитов. Но и на это у врачей нашелся ответ — «такое возможно даже после простых синяков».

В конечном итоге за «расшифровку» взялась бабушка девочки, в прошлом сама медик, и ее коллега.   

Анализы и проведенная компьютерная томография помогли установить  конечный диагноз — у малышки саркома Юинга с многочисленными метастазами в легких. Ей уже сделана одна операция, в ходе которой была взят дополнительный анализ на биопсию.

Пока никаких комментариев и прогнозов медики не дают. 

Источник

Комментарии закрыты.